ADVERTISEMENT
ADVERTISEMENT
ADVERTISEMENT

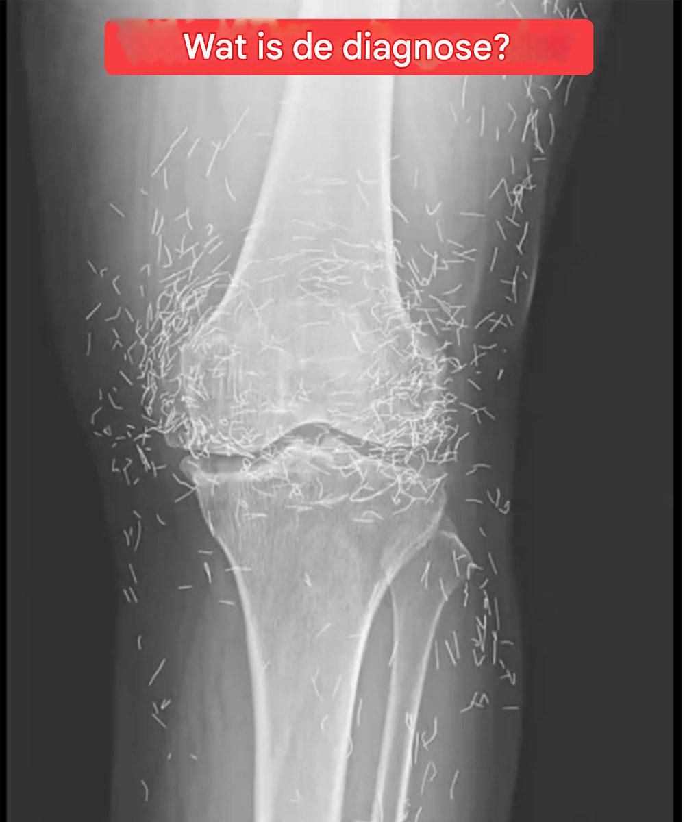
Röntgenfoto onthult honderden gouden naalden in knieën van vrouw

Toen artsen een röntgenfoto van de knieën van een oudere vrouw met ernstige gewrichtspijn onderzochten, ontdekten ze een goudmijn: honderden kleine gouden acupunctuurnaaldjes die in haar weefsel waren achtergebleven.

De 65-jarige Zuid-Koreaanse vrouw had eerder de diagnose artrose gekregen, een aandoening waarbij het kraakbeen en de botten in haar gewrichten aftakelen, wat pijn en stijfheid veroorzaakt. Toen pijnstillers en ontstekingsremmers haar kniepijn echter niet verlichtten en alleen maagklachten veroorzaakten, wendde ze zich tot acupunctuur, schreven artsen vorige week in het New England Journal of Medicine.

Acupunctuur is een alternatieve geneeswijze waarbij naalden worden gebruikt om specifieke punten op het lichaam te stimuleren, pijn te verlichten en verschillende aandoeningen te behandelen.

Het rapport stelt dat tijdens de acupunctuurbehandeling van de vrouw naalden, waarschijnlijk van goud, opzettelijk in haar weefsel waren achtergebleven om continue stimulatie te garanderen.

Het is echter mogelijk geen goed idee om naalden of andere voorwerpen in het lichaam achter te laten, zegt dr. Ali Guermazi, hoogleraar radiologie aan de Boston University, die niet bij deze zaak betrokken was. Het achterlaten van vreemde voorwerpen in het lichaam kan leiden tot ontstekingen, abcessen en infecties.

Als je wilt doorgaan, klik op de knop onder de advertentie ⤵️

Advertentie
ADVERTISEMENT

Laisser un commentaire

histat.io analytics